Răng mọc lệch có nên nhổ không để cải thiện thẩm mỹ?
Răng mọc lệch có nên nhổ không? Chào bác sĩ! Hàm răng của em từ nhỏ đã không được đều đặn, răng mọc lệch lạc và gây mất thẩm mỹ, em còn gặp khó khăn trong việc ăn nhai và vệ sinh răng miệng. Em được nhiều người khuyên nên nhổ răng lệch lạc để cải thiện thẩm mỹ. Vậy có nên nhổ răng mọc lệch hay không? nhược điểm bọc răng sứ titan là gì? Mong bác sĩ có thể tư vấn giúp em. Em cảm ơn! ( Như Thủy- Đà Lạt).
Bác sĩ tư vấn:
Nha khoa cảm ơn bạn Như Thủy đã tin tưởng và gửi câu hỏi về cho chuyên mục tư vấn của chúng tôi. Với thắc mắc có nên nhổ răng mọc lệch không của bạn, chuyên gia nha khoa sẽ giúp bạn giải đáp như sau:
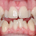
![]() |
Tình trạng răng mọc lệch gây mất thẩm mỹ |
Nguyên nhân răng mọc lệch
Một hàm răng bình thường sẽ đều đặn và thực hiện tốt chức năng ăn nhai và thẩm mỹ trên cung hàm. Tuy nhiên răng mọc lệch là tình trạng mà rất nhiều người gặp phải làm ảnh hưởng đến thẩm mỹ và ăn nhai, khiến bạn mất tự tin trong cuộc sống. Chính vì vậy mà nhiều người băn khoăn răng mọc lệch có nên nhổ không. Răng mọc lệch thường do nhiều nguyên nhân khác nhau.
- Do bẩm sinh: Trường hợp răng mọc lệch lạc do bẩm sinh chiếm đến 70%, cấu trúc xương hàm của mỗi người được quyết định bởi yếu tố di truyền rất lớn. Những trường hợp này thì bạn không thể phòng tránh được.
- Do mất răng sữa sớm: Thông thường, răng sữa sẽ rụng khi răng vĩnh viễn đã sẵn sàng mọc lên. Tuy nhiên, vì sự chủ quan của các bậc phụ huynh mà răng sữa của trẻ bị rụng sớm, khiến răng vĩnh viễn mọc không đúng quy luật, khiến răng mọc xô lệch.
- Do thói quen xấu: Một trong những nguyên nhân dẫn đến tình trạng răng mọc lệch là do những thói quen xấu từ nhỏ như mút tay, dùng lưỡi đẩy răng, bặm môi, nghiến răng, dùng tăm xỉa răng.
Răng mọc lệch có nên nhổ không để cải thiện thẩm mỹ?
Răng mọc lệch sẽ ít nhiều ảnh hưởng đến chức năng ăn nhai, sức khỏe răng miệng cũng như tính thẩm mỹ. Khi gặp phải tình trạng này, trong quá trình ăn nhai thức ăn sẽ dễ bị dắt vào các kẽ răng, gây khó khăn cho việc vệ sinh răng, từ đó tạo điều kiện cho vi khuẩn tấn công và gây ra các bệnh lý răng miệng. Vấn đề răng mọc lệch có nên nhổ không còn phải tùy thuộc vào https://bit.ly/3SajSCs tình trạng răng miệng của từng người, bạn cần đến gặp bác sĩ để được thăm khám, kiểm tra và tư vấn cụ thể.
![]() |
Niềng răng và bọc răng sứ cho răng mọc lệch |
- Trường hợp phải nhổ răng: Nếu răng mọc lệch ảnh hưởng đến thẩm mỹ quá nhiều, ảnh hưởng đến việc ăn nhai và gây ra bệnh lý răng miệng thì bác sĩ sẽ chỉ định nhổ bỏ để tiết kiệm thời gian và tránh những biến chứng ảnh hưởng xấu đến sức khỏe răng miệng. Răng mọc lệch quá nhiều, nếu không nhổ răng thì sẽ không đủ khaorng trống để các răng kia thẳng hàng được, có thể nhổ một vài răng rồi mới tiếng hành chỉnh nha.
- Trường hợp không cần nhổ răng: Đối với những trường hợp răng mọc lệch không quá nhiều, không ảnh hưởng nhiều đến thẩm mỹ cũng như chức năng ăn nhai thì không cần phải nhổ bỏ. Còn nếu răng mọc lệch sai khớp cắn thì có thể áp dụng phương pháp niềng răng để đưa răng về đúng vị trí trên cung hàm. Ngoài ra, bạn có thể thực hiện bọc răng sứ để tiết kiệm được thời gian mà vẫn đem lại hiệu quả thẩm mỹ cao.
Hy vọng với những thông tin mà chúng tôi vừa chai sẻ đã giúp bạn giải đáp được thắc mắc răng mọc lệch có nên nhổ không. Nếu bạn đang gặp phải tình trạng răng mọc lệch hãy đến ngay các cơ sở nha khoa uy tín để được tư vấn điều trị.
TG: VT
Răng mọc lệch có nên nhổ không để cải thiện thẩm mỹ?
Reviewed by trồng răng sứ tư vấn
on
24 tháng 10
Rating:
