Viêm lợi có gây sốt không? Các biểu hiện khác
Viêm lợi có gây sốt không? Viêm lợi là một bệnh lý phổ biến mà bất kỳ ai cũng đều gặp phải. Bệnh phát triển nặng hơn và gây ra nhiều biến chứng nguy hiểm nếu không được phát hiện điều trị kịp thời.
Viêm lợi có gây sốt không?
Viêm lợi là sự nhiễm trùng mô mềm xung quanh nâng đỡ cho răng. Nướu lợi có nhiệm vụ bảo vệ, che chở và giữ cho chân răng được chắc chắn.
Nguyên nhân gây bệnh thường là do mảng bám hình thành trên răng, là một lớp màng mỏng và mềm, dính, không màu, niềng răng invisalign giá bao nhiêu chúa nhiều vi khuẩn hình thành trên bề mặt răng và nướu. Vi khuẩn tồn tại càng lâu thì mức độ nghiêm trọng sẽ càng lớn. Khi mảng bám không được làm sạch, chúng sẽ tạo ra độc tố kích thích mô nướu gây viêm lợi. Khi bị viêm lợi, những mô mềm nâng đỡ cho răng bị nhiễm trùng, răng bị lung lay.
Biểu hiện của viêm lợi có gây sốt không đó là sưng nhẹ ở viền và gai nướu, nướu có dấu hiệu sưng đỏ. Khi nặng hơn, sẽ sưng tấy, không còn dai chắc mà trở nên mềm hơn, kèm theo sốt cao và nổi hạch.
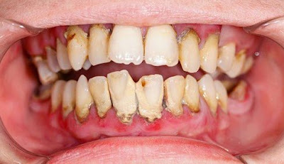
![]() |
| Viêm lợi do mảng bám vôi răng gây ra* |
Điều trị viêm lợi như thế nào?
Viêm lợi là bệnh lý có thể điều trị dễ dàng nếu được phát hiện sớm. Khi nhận thấy cơ thể có dấu hiệu như vùng má bị sưng, cổ nổi hạch, đau nhức răng kéo dài, sốt cao,…cần đến cơ sở khám chữa bệnh để tiến hành thăm khám và áp dụng các biện pháp điều trị kịp thời.
Điều trị viêm lợi thường tiến hành bằng cách loại bỏ yếu tố gây bệnh, cạo vôi răng để làm sạch mảng bám trên răng và dưới nướu. Thao tác này sẽ giúp răng chắc khỏe hơn, tình trạng viêm nhiễm giảm dần, sốt và nổi hạch cũng không còn nữa.
Quá trình cạo vôi răng để hỗ trợ điều trị viêm lợi có gây sốt không được tiến hành bằng máy siêu âm công nghệ hiện đai. Theo đó, vôi răng sẽ được làm sạch tối đa, ngay cả vôi răng bám chắc dưới nướu cũng được loại bỏ nhanh chóng, không gây đau hay ê buốt.
![]() |
| Điều trị viêm lợi an toàn tại nha khoa* |
Bên cạnh đó, chế độ chăm sóc răng miệng hàng ngày cũng rất quan trọng trong việc điều trị bệnh, các bạn cần lưu ý đánh răng đúng cách theo sự chỉ dẫn của bác sĩ ít nhất 2 lần/ ngày với bàn chải lông mềm. Dùng chỉ nha khoa để làm sạch mảng bám thức ăn còn sót lại trên kẽ răng. Bạn cũng nên súc miệng bằng nước muối để làm sạch khoang miệng, giúp mô nướu chắc khỏe.
Một chế độ ăn uống đúng cách cũng giúp cho tình trạng viêm lợi được cải thiện nhanh chóng. Hãy hạn chế hút thuốc lá, bia rượu, thực phẩm chứa nhiều đường, thay vào đó hãy bổ sung vitamin C, chất xơ, các loại trái cây có thể làm sạch răng miệng hàng ngày.
Viêm lợi có gây sốt không sẽ càng nặng thêm nếu không được điều trị. Vì thế, hãy lưu ý những bất thường của răng miệng, từ đó phát hiện kịp thời bệnh để giúp quá trình điều trị dễ dàng hơn.
Ngavvt
Viêm lợi có gây sốt không? Các biểu hiện khác
Reviewed by trám răng tư vấn
on
13 tháng 1
Rating:
Reviewed by trám răng tư vấn
on
13 tháng 1
Rating:


